Яскрава, бездоганна посмішка може змінити життя, а вініри – один із найефективніших способів її досягнення. Але як зберегти бездоганний вигляд зубів після встановлення вінірів?
Правильний догляд після встановлення вінірів є важливим для того, щоб вони залишалися міцними, красивими та довговічними.
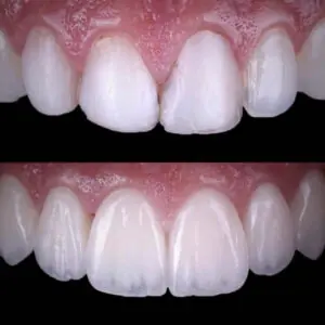
Що таке вініри?

Вініри – це тонкі оболонки з порцеляни (кераміки) або композитного матеріалу кольору зубів, які кріпляться до передньої поверхні зубів.
Вініри використовуються для покращення зовнішнього вигляду посмішки шляхом виправлення таких проблем, як зміна кольору зубів, сколи, проміжки між зубами, нерівномірна форма зубів тощо.
Типи вінірів
Існують різні типи вінірів:
- композитні – виготовлені з різних матеріалів, зокрема з композитної смоли;
- порцелянові (керамічні);
- цирконієві — виготовлені з діоксиду цирконія;
- люмініри — виготовлені зі спеціальної кераміки, дуже тонкі і вимагають мінімальної обробки зубів перед встановленням.
Також реставрація зубів може відбуватися двома методами: прямим — стоматолог реставрує зуби композитними матеріалами відразу за один візит, або непрямим — вініри виготовляють у лабораторії, а потім встановлюють.
Кожен з цих варіантів пропонує власний набір переваг, які можна адаптувати до конкретних потреб кожного пацієнта.
Як довго служать вініри?
За належного догляду порцелянові (керамічні) вініри можуть прослужити 10-15+ років, а композитні – 5-7 років. Однак їхня довговічність значною мірою залежить від ваших звичок гігієни порожнини рота та щоденного догляду.
Щоденні правила догляду за вінірами: що можна і що не можна робити
Що можна робити:
✔ Регулярно чистіть зуби щіткою та зубною ниткою – використовуйте зубну щітку з м’якою щетиною та неабразивну зубну пасту з фтором, щоб дбайливо чистити вініри двічі на день. Щодня користуйтеся зубною ниткою, щоб видаляти зубний наліт та частинки їжі.
✔ Використовуйте капу, якщо скрегочете зубами – якщо у вас бруксизм (скрегіт зубами), носіння нічної капи може захистити ваші вініри від пошкодження.
✔ Регулярно відвідуйте стоматолога – регулярні візити до стоматолога (кожні шість місяців) допомагають виявити потенційні проблеми на ранній стадії та підтримувати вініри у відмінному стані.
✔ Харчуйтеся обережно – хоча вініри довговічні, краще уникати відкушування дуже твердої їжі.
✔ Захищайте свої зуби під час занять спортом — носіть капу під час занять будь-якими контактними видами спорту, щоб захистити ваші вініри (і природні зуби) від відколів або вибивання.
❌ Що не варто робити:
- використовувати абразивну зубну пасту – відбілююча або вугільна зубна паста може бути занадто агресивною для вінірів та спричиняти подряпини;
- використовувати зуби як інструменти – відкриття пляшок або розривання упаковок зубами може створювати надмірне навантаження на вініри та призвести до їх розтріскування або розхитування;
- жувати тверду їжу і предмети – уникайте кусання льоду, ручок, нігтів або твердих цукерок, оскільки це може призвести до відколювання вінірів та тріщин на них;
- вживати надмірну кількість кави, чаю або червоного вина – ці напої можуть забарвити натуральні зуби, і хоча порцелянові вініри стійкі до забарвлення, композитні вініри можуть з часом втратити колір;
- курити або вживати тютюнові вироби – куріння може призвести до появи плям та рецесії ясен, що впливає на зовнішній вигляд та довговічність вінірів.
Що робити, якщо вінір пошкодився?
Навіть за найкращого догляду трапляються нещасні випадки. Якщо ви помітили скол, тріщину або розшаровування вашого вініра, не панікуйте! Негайно зверніться до стоматолога, щоб він оцінив пошкодження та запропонував рішення – ремонт чи заміну.
Вініри – це інвестиція у вашу впевненість у собі та посмішку, і за належного догляду вони можуть прослужити багато років. Підтримуючи відмінну гігієну порожнини рота, уникаючи шкідливих звичок та плануючи регулярні стоматологічні огляди, ви можете зберегти свою посмішку сяючою на все життя! Якщо у вас є якісь запитання або вам потрібен професійний догляд за вінірами, запишіться на прийом до клініки YAREMA DENTAL – ваша ідеальна посмішка заслуговує на найкращий догляд!
Ця стаття не замінює консультацію лікаря. Для отримання повної інформації зверніться до стоматолога.