A gap between teeth, especially the front teeth, can be challenging to overcome. In addition to affecting appearance and self-confidence, this orthodontic issue can be damaging to overall oral health.
How can a gap between teeth be eliminated or narrowed?
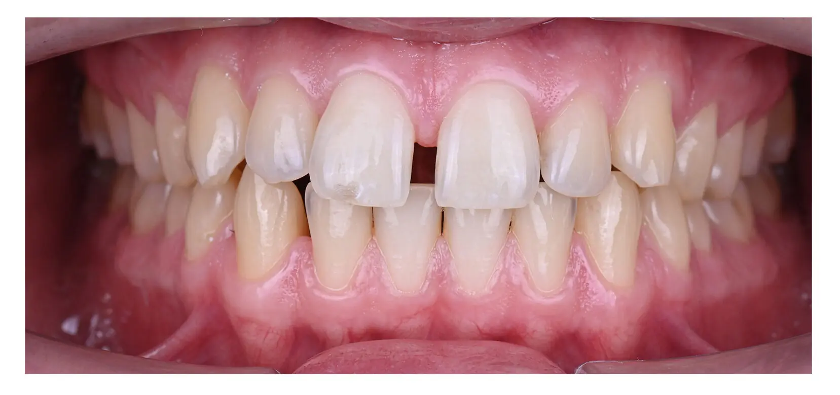
What is a diastema?
A diastema is a medical term that means the presence of a gap between two or more teeth. This condition occurs in both young and older people and can develop between any teeth. The midline diastema is the most common type and specifically refers to the gap between the two upper front teeth.
Even if gaps between teeth do not bother you, it is important to have a diastema checked by a dentist if it is caused by a more serious condition, such as gum disease. Gaps between teeth can also indicate that you have a misaligned bite, which can lead to chipping or breaking teeth.
What causes a diastema?
Gaps can form for various reasons.
Here are the main ones:
• Teeth are too small for the jawbone. When a person’s teeth are too small for their jawbone, gaps can form between them. Genetics determine the size of teeth relative to the jawbone, which means diastemas can be inherited from generation to generation.
• Missing or smaller teeth. Due to missing or smaller teeth, the chances of developing a diastema are very high. A common cause is the absence or too-small size of the upper lateral incisors located next to the two front teeth. To compensate, a gap may form between the two front teeth.
• Lip frenulum is too large. The lip frenulum is the soft tissue that connects the upper lip to the bony tissues of the jaw. If this piece of connective tissue is too large for the gums, a gap can form.
• Gum disease. Gum disease can lead to a complication known as tooth migration. This occurs when inflammation develops in the gums, which then damages the bone and tissues supporting the teeth. If this damage is not treated, it will lead to loosening of the teeth and eventually to their spacing apart.
• Incorrect swallowing. When people swallow, they press their tongue against the palate. Some people have problems with proper swallowing, causing their tongue to push against the front teeth. This constant pressure can gradually move the teeth forward, resulting in a gap between them.
• Harmful habits. Habits such as thumb sucking and teeth grinding gradually push teeth out of their natural position, which can lead to a diastema.
How do you treat a diastema?
If you want to close a gap between your teeth for aesthetic or medical reasons, your dentist or orthodontist can help you determine the best approach.
Methods of diastema treatment:
- Braces. Braces are the most common treatment for median and other types of diastemas. They work by applying gradual pressure to the teeth to close the gap over time. Braces are a classic and effective solution for closing gaps, particularly those caused by diastemas. Traditional metal braces are very effective for difficult cases, but can be more noticeable and cause some initial discomfort. Ceramic braces are a more discreet alternative, functioning similarly to metal braces, but are clear or tooth-colored. Ceramic braces are often chosen for their aesthetic appeal, although they can be slightly more prone to staining and a little more fragile than metal braces.
- Aligners. Invisible aligners are often the easiest and most comfortable option for closing gaps. Aligners, like braces, also move teeth into ideal positions, closing the gap.
- Surgery. If you have an overgrown frenulum that has caused a gap between your front teeth, your dentist may suggest a procedure known as a frenectomy. This is a fairly simple oral surgical procedure that removes any excess tissue from the frenulum. The doctor will use a local anesthetic to numb the area around the frenulum. The dentist will make a small incision to remove the excess frenulum tissue. This can be done with a scalpel, laser, or electrocautery (a tool that uses heat to cut tissue). You may feel a slight tingling or pressure, but you should not feel any pain.
- Treating Gum Disease. Treating gum disease can help stop infections and complications that lead to tooth loss or migration.
- Veneers. Dental veneers are thin, custom-made shells that cover the front surface of your teeth to improve their appearance. They are a great choice for quickly and effectively closing gaps. Veneers are made of porcelain or composite materials and can be designed to match the color and shape of natural teeth. However, they require the removal of a small amount of tooth enamel, and while they offer immediate aesthetic results, they are not a solution to underlying structural problems.
- Bonding. Dental bonding involves applying a tooth-colored resin to the gap. Bonding is ideal for minor gaps and defects, but may require touch-ups over time, as resin can chip or stain more easily than veneers.
- Dental bridge. If the gap is related to a missing tooth, a dental bridge may be recommended. A bridge involves creating an artificial tooth that is fixed in place by modifying the healthy teeth on either side. This restoration effectively closes the gap and restores function and appearance. Bridges are durable and provide a secure, functional solution, but may require replacement or adjustment over time.
- Dental implant. Implantation is a long-term solution for missing teeth without changing the surrounding teeth. An implant consists of a titanium post surgically placed in the jawbone, which acts as a root substitute. Once the implant has integrated with the bone, a dental crown is attached to complete the restoration and close the gap. Implants provide a natural look and feel, but the procedure involves a longer healing period and is more expensive than other options.
How can you prevent a diastema?
Hereditary types of diastema cannot be prevented, but there are ways to prevent diastema in less severe cases.
These include:
- maintaining good oral hygiene to prevent gum disease;
- learning proper swallowing reflexes;
- visiting the dentist twice a year for regular cleanings and checkups;
- avoiding bad habits such as thumb sucking.
For those who seek treatment for a gap between their front teeth, the outlook is positive. Many diastema correction procedures can successfully close the gap. If you want to learn more about correcting the gap between your teeth, contact the YAREMA DENTAL clinic for a consultation with our specialist.
